5329 - Sarcoma, soft tissue (of muscle, fat, or fibrous connective tissue)

DBQ: Link to Index of DBQ/Exams by Disability for DC 5329

Definition

Sarcoma is a malignant neoplasm that arises from connective tissue such as muscle or bone. A neoplasm is the formation of new and abnormal tissue, such as a tumor or growth. A malignant neoplasm, or tumor, infiltrates surrounding tissue, spreads and often recurs. In this case, it occurs in the muscle, fat, or fibrous connective tissue.

Etiology

A malignant neoplasm may be caused by a variety of elements such as chemicals, radiation agents, biologic agents such as viruses, and dietary factors. Heredity may also be a factor. Sarcomas may arise from connective tissue such as muscle or bone.

Signs & Symptoms

Signs and symptoms may manifest as a lump in a muscle that may be felt on the surface of the skin, or it may appear on the skin surface. There may or may not be pain. The size of the lump may increase rapidly. There may be change in muscle function or sensation, as well as disfigurement. Swelling, redness, or restricted range of motion may occur.

Tests

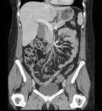
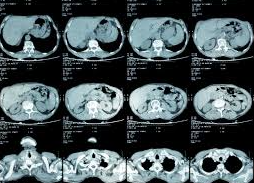
A complete history and physical examination are necessary for early diagnosis and treatment. X-ray; magnetic resonance imaging (MRI); computed tomography (CT) scan; ultrasonography; blood studies; tumor markers; tissue biopsy and tumor staging may be required.

Treatment

Early treatment may be aggressive and offer a better prognosis. Cancerous muscle tumors usually require surgical removal. For certain types of sarcoma, amputation may be performed. Chemotherapy or radiation treatments may be necessary. Depending on the tumor grade, a combination of the above treatments may be used.

Residuals

The outcome may depend on the type and extent of muscle tissue involved, the treatment employed, as well as any metastasis throughout the body. Other complications of treatment include: local recurrence; wound complications; nerve or blood vessel injury associated with treatment; pathologic fracture of adjacent bone following radiation therapy; and the need for amputation regardless of treatment. Muscle weakness or muscle deformity may result, and there may be an alteration in self-image. In addition, counseling, psychotherapy, and support groups may be indicated to assist the patient in dealing with the diagnosis.

Special Considerations

  • If the veteran was exposed to an herbicide agent during active military, naval, or air service, soft tissue sarcoma (other than osteosarcoma, chondrosarcoma, Kaposi's sarcoma or mesothelioma) shall be service-connected if the requirements of 38 CFR 3.307(a)(6) are met even though there is no record of such disease during service, provided further that the rebuttable presumption provisions of 38 CFR 3.307 (d) are also satisfied. See Note 1 under 38 CFR 3.309 (e) which refers to specific soft-tissue sarcomas to be considered under this provision.

  • This disease shall be granted service connection although not otherwise established as incurred in or aggravated by service if manifested to a compensable degree within the applicable time limits under 38 CFR 3.307 following service in a period of war or following peacetime service on or after January 1, 1947, provided the rebuttable presumption provisions of 38 CFR 3.307 are also satisfied [38 CFR 3.309 [Disease subject to presumptive service connection], 38 CFR 3.309(a). [chronic disease].

  • In all claims in which it is established that a radiogenic disease first became manifest after service and was not manifest to a compensable degree within any applicable presumptive period as specified in 38 CFR 3.307 or 38 CFR 3.309, and it is contended the disease is a result of exposure to ionizing radiation in service, procedures outlined in 38 CFR 3.311 should be followed to determine if a positive correlation to the Veteran’s military service exists. [38 CFR 3.311 [Claims based on exposure to ionizing radiation]]

  • May be entitled to special monthly compensation where the Veteran has a single service-connected disability rated as 100% with additional service-connected disability or disabilities independently ratable at 60% or more, which are separate and distinct from the 100% service-connected disability and involves different anatomical segments or bodily systems. See  38 CFR 3.350(i)(1) – Special Monthly Compensation (SMC).

Notes

  • The term soft-tissue sarcoma includes the following: Adult fibrosarcoma, Dermatofibrosarcoma protuberans, Malignant fibrous histiocytoma, Liposarcoma, Leiomyosarcoma, Epithelioid leiomyosarcoma (malignant leiomyoblastoma), Rhabdomyosarcoma, Ectomesenchymoma, Angiosarcoma (hemangiosarcoma and lymphangiosarcoma), Proliferating (systemic) angioendotheliomatosis, Malignant glomus tumor, Malignant hemangiopericytoma, Synovial sarcoma (malignant synovioma), Malignant giant cell tumor of tendon sheath, Malignant schwannoma, including malignant schwannoma with rhabdomyoblastic differentiation (malignant Triton tumor), glandular and epithelioid malignant schwannomas, Malignant mesenchymoma, Malignant granular cell tumor, Alveolar soft part sarcoma, Epithelioid sarcoma, Clear cell sarcoma of tendons and aponeuroses, Extraskeletal Ewing's sarcoma, Congenital and infantile fibrosarcoma, Malignant ganglioneuroma.

  • It does not include the following: osteosarcoma, chondrosarcoma, Kaposi's sarcoma, or mesothelioma

  • When evaluating any claim involving muscle injuries resulting in loss of use of any extremity or loss of use of both buttocks (diagnostic code 5317, Muscle Group XVII), refer to 38 CFR 3.350 to determine whether the Veteran may be entitled to special monthly compensation.