6046 - Post-chiasmal disorders

DBQ: Link to Index of DBQ/Exams by Disability for DC 6046

Definition

Post-chiasmal disorders are disorders associated with lesions of the optic chiasm, manifesting as various impairments of the sufferer's visual field according to the location of the lesion along the optic nerve. This condition can also be called chiasmal syndrome.

This category of eye conditions includes a variety of central visual disorders with brain involvement, which includes residuals from traumatic brain injury (TBI) or other causes of cerebral injury, such as infectious, vascular conditions, or degenerative conditions.

Etiology

Post-chiasmal disorders may be associated with cognitive changes caused by the structural or functional alteration of the brain tissue, which are often associated with TBI. The alteration can lead to brain dysfunction which can manifest as a variety of visual impairments. Post-chiasmal disorders can also be a result of multiple sclerosis, stroke, TIA, or tumors.

Common causes of chiasmal syndrome can be placed into five categories - congenital, traumatic, iatrogenic, extrinsic lesions, or intrinsic lesions.

Example of types of causes of chiasmal syndrome by category:

Congenital Traumatic Iatrogenic Intrinsic lesions Extrinsic lesions

Signs & Symptoms

The chiasmal syndrome is a constellation of signs and symptoms that include changes in the visual field, decreased visual acuity and atrophy of the optic nerves, which are associated with lesions in the optic chiasm. Other symptoms such as diplopia, photophobia, nystagmus, optic atrophy, pituitary apoplexy, optic atrophy, alterations in chromatic sensitivity, changes in the appearance of the head of the optic nerve, headache and systemic manifestations secondary to variations in the pituitary hormones may also arise.

Tests

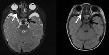
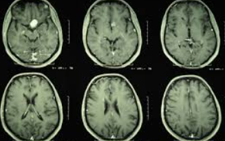
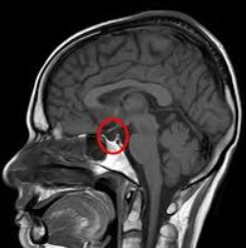
Visual acuity and visual field tests are a good screen to test for chiasmal involvement. Neuroimaging may also be needed (i.e. MRI (magnetic resonance imaging)). In some cases, endocrinologic evaluation should be considered when the cause is pituitary adenoma, which is the most common extrinsic cause of chiasmal syndrome. A pattern electroretinogram may be measured to predict the visual prognosis of patients with chiasmal compression.

Treatment

Treatment varies according to the etiology of the disorder. Treatment consists of multidisciplinary management and visual rehabilitation.

Residuals

The progression of the injury can cause compression of adjacent structures, including the optic nerves and cavernous sinus, resulting in further vision loss, oculomotor nerve deficits and hypopituitarism.

Special Considerations

  • May be entitled to special monthly compensation where the Veteran has a single service-connected disability rated as 100% with additional service-connected disability or disabilities independently ratable at 60% or more, which are separate and distinct from the 100% service-connected disability and involves different anatomical segments or bodily systems. See  38 CFR 3.350(i)(1) – Special Monthly Compensation (SMC).

  • Consider entitlement to specially adapted housing under 38 U.S.C. 2101(a)(2)(A)(i) if there is visual impairment to the degree specified in 38 CFR 3.809(b)(2).

  • The veteran, spouse, surviving spouse or parent will be considered in need of regular aid and attendance if he or she is blind or so nearly blind as to have corrected visual acuity of 5/200 or less, in both eyes, or concentric contraction of the visual field to 5 degrees or less (38 CFR 3.351(c)(1)).

  • Consider entitlement to automobile allowance and/or automobile adaptive equipment if there is visual impairment to the degree specified in 38 CFR 3.808(b)(3).

Notes

  • Review for entitlement to special monthly compensation under 38 CFR 3.350.

  • For the purposes of evaluation under 38 CFR 4.79, an incapacitating episode is an eye condition severe enough to require a clinic visit to a provider specifically for treatment purposes.

  • Examples of treatment may include but are not limited to: Systemic immunosuppressants or biologic agents; intravitreal or periocular injections; laser treatments; or other surgical interventions.

  • For the purposes of evaluating visual impairment due to the particular condition, refer to 38 CFR 4.75, 38 CFR 4.76, 38 CFR 4.77, 38 CFR 4.78,  and  38 CFR 4.79, diagnostic codes 6061-6091.