7200 - Soft tissue injury of the mouth, other than tongue or lips

DBQ: Link to Index of DBQ/Exams by Disability for DC 7200 

Definition

Chewing is the first stage of digestion. Specific muscles in the mouth lower and raise the mandible, firm the cheeks, and accomplish the coordinated movements of the tongue to enable the process of chewing. The salivary glands are stimulated to secrete, and saliva dissolves some substances and lubricates material to be swallowed. This is done in the framework of the jaw. Trauma to the jaw or mouth interferes with mastication.

Mouth injury may refer to injuries to the lip, tongue, inner cheeks, and mouth.

Etiology

Injuries to the mouth occur in accidents associated with motorcycles, automobiles, gunshot wounds, bicycles, and contact sports.

Signs & Symptoms

Manifestations of the injuries may include: malocclusion; pain; loose teeth; unusual mobility of one or both jaws; or limited opening of the mouth.

Tests

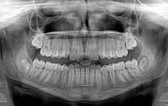
Diagnostic measures may include: routine x-rays; dental x-rays; and computed tomography (CT) scans.

Treatment

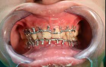
Fractured jaws may require open reduction surgery, jaw wiring for immobilization, and dental crowns and braces to restore a normal bite. Lacerations may need suturing.

Residuals

Speech, mastication, and appearance will all be affected if malocclusion is not corrected. Treatment may help decrease periodontal disease and dental caries.

Special Considerations

  • None.

Notes

  • Rate as for disfigurement and impairment of function of mastication.